1 – Résidus trophoblastiques
Fausse couche récente.
Vidéo. Balayage dans le plan sagittal.
La ligne de vacuité est bien visible (►), unique sur le début de la séquence. Elle se dédouble ensuite du fait de la présence d’une masse endocavitaire (★) antérieure. L’interface avec le myomètre est complètement effacée, alors qu’elle reste toujours nette en arrière, entre endomètre (►) et myomètre.
Nombreuses structures vasculaires intramyométriales en regard (►), témoignant d’une hypervascularisation à ce niveau.

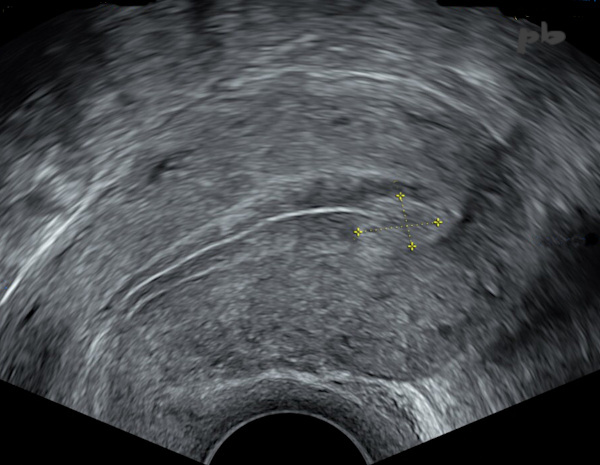
2 – Résidus trophoblastiques
(même patiente que 1)
Fausse couche. 4 semaines plus tard.
Il ne persiste qu’un fragment hyperéchogène (entre les croix), bien limité : résolution spontanée en cours.

3 – Résidu trophoblastique
Coupes transversales de l’utérus.
A droite, l’endomètre parait fin et régulier, sans trophoblaste résiduel.
A gauche, on voit en fait l’endomètre (►) moulant une image isoéchogène au myomètre (entre les croix) : résidu trophoblastique.
Evacuation spontanée.

4 – Résidus trophoblastiques
Echographie – Coupe sagittale.
Muqueuse et cavité utérine très épaissies et hétérogènes (entre les croix 18 mm).
Entre les 2 marqueurs (►), l’interface endomètre – myomètre disparait.

5 – Résidus trophoblastiques
(même patiente que 4)
Echographie doppler – Coupe sagittale.
Muqueuse et cavité utérine très épaissies et hétérogènes.
Entre les 2 marqueurs (►), l’interface endomètre – myomètre disparait : la portion isoéchogène au myomètre est vascularisée, correspondant à des résidus trophoblastiques et non hématiques.

6 – Résidus trophoblastiques
Echographie et doppler – Coupe sagittale.
Muqueuse et cavité utérine (►) très épaissies et hétérogènes, avec effacement de l’interface en postérieur (marqueur supérieur ► sur l’image gauche).
A ce niveau (sur l’image droite), riche vascularisation en doppler, à la fois dans le myomètre et dans la cavité : résidus trophoblastiques avec vascularisation de type utéro-placentaire. On utilise actuellement le terme purement descriptif d’anomalie vasculaire. Il ne s’agit pas d’une malformation artério-veineuse.
Une échographie réalisée 6 semaines plus tard montrait une vacuité utérine, sans aucun traitement.

7 – Résidus trophoblastiques
Echographie et doppler – Coupe sagittale.
Aspect à peu près superposable aux images 4 à 6.
Muqueuse et cavité utérine (►) très épaissies, isoéchogène au myomètre. On perçoit toujours une ligne hyperéchogène en périphérie (endomètre ou caduque ►), sauf en antérieur, au niveau de la plage hypervasculaire.
Importante vascularisation en doppler couleur.

8 – Résidus trophoblastiques
Echographie – Coupe sagittale.
IVG médicamenteuse il y a 3 semaines.
Dédoublement de la muqueuse au niveau de l’orifice interne cervical (►).
Masse hétérogène dans la cavité avec effacement de l’interface endomètre – myomètre en postérieur (►). Persistance d’une bande hyperéchogène en antérieur (endomètre ou caduques ★).

9 – Résidus trophoblastiques
(même patiente que 8)
Echographie doppler – Coupe sagittale.
En postérieur, là où l’interface a disparu, présence de flux nombreux et très rapides (►), dépassant 1m / s. Résistances basses.
Simple surveillance dans les suites. Résolution complète spontanée sur une échographie réalisée 3 mois plus tard.
© Dr Philippe BASSNAGEL – 2025