
10 – Résidus trophoblastiques
Echographie doppler – Coupes sagittales.
Grossesse arrêtée depuis 6 semaines.
Présence de flux nombreux et très rapides (►) en postérieur (utérus rétroversé).
Intérêt du réglage de la PRF en doppler couleur :
-image gauche : PRF basse visualisant tous les flux, lents et rapides, dans tout l’utérus.
-image droite : PRF élevée ne laissant persister que les flux rapides. Ils indiquent préférentiellement la présence de résidus trophoblastiques et la zone d’implantation.
Aspiration le même jour. Débris placentaires bordés par du cytotrophoblaste en anapath.

11 – Résidus trophoblastiques
Echographie doppler – Coupe transversale de l’utérus.
En doppler couleur, présence de flux nombreux et très rapides (►) au niveau de la corne gauche, atteignant 80 cm / s. Les résistances sont également très faibles.
2 tracés sont montrés, enregistrés à 2 endroits différents, avec les mêmes caractéristiques de haute vélocité et de résistances abaissées : flux de type utéro-placentaire. La vacuité a été obtenue spontanément, sans intervention.
12 – Résidus trophoblastiques
Echographie – Vidéo – Coupe sagittale.
Fausse couche spontanée à 9 SA il y a 2 semaines.
Persistances d’importants résidus. Flux lents, bien visibles sur la séquence vidéo. Il existait aussi des flux plus rapides en doppler couleur (non montré).
Curetage 15 jours plus tard, sans complication. Trophoblaste en anapath.
13 – Résidus trophoblastiques
Echographie – Vidéo – Coupe sagittale.
Fausse couche spontanée il y a 3 mois. Traitement médical.
Les contrôles successifs montrent la persistance d’une volumineuse zone d’hypervascularisation : malformation artério-veineuse ?
Persistances d’importants résidus, hyperéchogènes et hétérogènes, occupant toute la partie centrale de l’utérus. Flux lents, bien visibles sur la séquence vidéo. Les résistances étaient particulièrement faibles (IR = 0,10). Pas de flux rapides.
En avant, fine bande très hyperéchogène +/- cône d’ombre (►) : calcifications débutantes ?
Au final, simple rétention trophoblastique. Curetage peu après : matériel placentaire à l’anapath. Démarrage d’une grossesse (non compliquée) quelques mois plus tard.
Ve = vessie

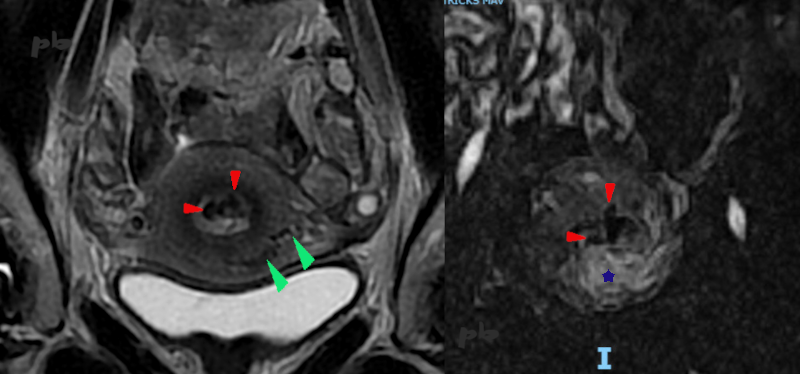
14 – Faux diagnostic de MAV (malformation artério-veineuse)
IRM coupes frontales, T2 à gauche et séquence vasculaire injectée (Tricks) à droite.
Fausse couche il y a 2 mois. Traitement médical. Une 1ère échographie avait mis en évidence des résidus avec faible résistance vasculaire et une afférence de l’artère utérine.
Sur les 2 coupes, images de vide de signal (noires ►) dans l’endomètre : vaisseaux à flux rapides.
Présence d’images identiques dans le myomètre (►). A ce niveau, le myomètre s’opacifie plus vite (★) que dans le reste de l’utérus.

15 – Faux diagnostic de MAV
(même patiente que 14)
IRM coupe frontale – séquence vasculaire injectée (Tricks) temps artériel tardif.
Opacification précoce de la veine ovarienne gauche (►).
Utérus encore peu opacifié (►).
Echographie normale un mois plus tard, sans traitement.
Il s’agissait donc des modifications vasculaires habituellement rencontrées en cas de rétention trophoblastique (hypervascularisation de type utéro-placentaire), et non d’une malformation artério-veineuse (MAV).
Aorte (►)
16 – Anomalie vasculaire – Vidéo
IVG médicamenteuse il y a deux mois.
Présence d’une image discrètement hyperéchogène au myomètre. Zone centrale liquidienne avec flux tourbillonnants lents.
En périphérie, dans la partie hyperéchogène, on retrouve des flux atteignant jusqu’à 1,20 m/s, et de résistances faibles (en mode doppler, non montré).

17 – Anomalie vasculaire
(même patiente que 16)
IRM en pondération T2. Coupes frontales du pelvis, transversales de l’utérus.
Image gauche : plusieurs structures en « vide de signal » (noires ►), serpigineuses, intra-myométriales, correspondant aux vaisseaux dilatés associés au résidu trophoblastique.
A droite, après embolisation, elles ne sont plus visibles et l’utérus a retrouvé son anatomie zonale normale.
Endomètre (►)
Zone jonctionnelle (étoile blanche)
Vessie (★)

18 – Anomalie vasculaire – Angiographie
(même patiente que 16)
La patiente continuant à saigner de façon importante, et devant le crainte d’être en présence d’une MAV, décision de réaliser une embolisation.
Angiographie : séquence avant embolisation.
Hypervascularisation de la partie gauche de l’utérus (►) aux dépens du segment III de l’artère utérine, correspondant à l’anomalie vasculaire. Pas de MAV.
Embolisation sans difficultés techniques.
Suites simples.
© Dr Philippe BASSNAGEL – 2025