
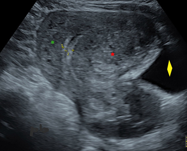
12- Adénomyose – Echo par voie sus-pubienne
Coupe sagittale.
Net épaississement de la paroi utérine antérieure (★) par rapport à la paroi postérieure (★).
Elle est parsemée par ailleurs de petites images liquidiennes lui donnant un aspect « mité ».
L’endomètre est bien visible, mieux que par voie vaginale chez cette patiente.
Vessie (♦︎).
12-Adenomyosis – Transabdominal Ultrasound
Sagittal section.
Clear thickening of the anterior uterine wall (★) compared to the posterior wall (★).
It is also dotted with small cystic images giving it a ‘moth-eaten’ appearance.
The endometrium is clearly visible, better than via the vaginal route in this patient.
Bladder (♦)

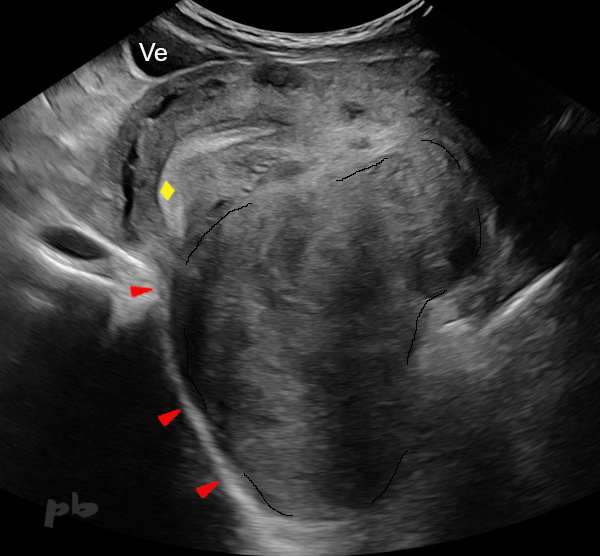
13- Adénomyome – Echo
Echo endovaginale centrée sur les 2 cornes utérines (★).
– à droite, pas d’épaississement myométrial. Visualisation du départ du trajet interstitiel de la trompe.
– à gauche, net épaississement, hétérogène, parsemé de petites images liquidiennes, formant une masse mal délimitée (►) : adénomyome.
Il n’y avait pas d’aspect d’encorbellement vasculaire en doppler couleur, au contraire de ce que l’on voit souvent dans les myomes.
13-Adenomyoma – Ultrasound
Transvaginal ultrasound focused on the two uterine horns (★).
– On the right, no myometrial thickening. Visualization of the beginning of the interstitial segment of the tube.
– On the left, clear heterogeneous thickening, dotted with small cystic images, forming a poorly defined mass (►) : adenomyoma.
There was no appearance of vascular crown on color Doppler, contrary to what is often seen in fibroids.

14-Adénomyose-Adénomyome
Echographie-doppler : coupe sagittale
Utérus rétrofléchi, avec un endomètre ( ★ ) nettement refoulé vers l’avant (fond utérin à gauche sur l’image).
Le myomètre postérieur est épaissi, par une image arrondie d’échostructure très proche de celle du myomètre ( ► ). Elle est ponctuée de multiples spots anéchogènes, liquidiens. Les vaisseaux traversent librement cette zone, sans aspect d’encorbellement au contraire de ce que l’on voit habituellement avec les myomes.
14-Adenomyosis-Adenomyoma
Doppler Ultrasound : Sagittal section
Retroflexed uterus, with an endometrium (★) clearly pushed forward (uterine fundus on the left in the image).
The posterior myometrium is thickened by a rounded image with an echostructure very similar to that of the myometrium (►). It is dotted with multiple anechoic, fluid spots. The vessels pass freely through this area, without the appearance of a vascular crown, contrary to what is usually seen with fibroids.

15-Adénomyose-Adénomyome
Même patiente que 14 – Coupe sagittale T2
Même image postérieure arrondie, en iso signal par rapport au myomètre sain, et ponctuée de multiples spots en hypersignal T2 liquidien ( ► ).
Le refoulement vers l’avant et l’effet de masse sur l’endomètre sont bien visibles.
15-Adenomyosis-Adenomyoma
Same patient as 14 – Sagittal T2 section
Same rounded posterior image, in isosignal relative to the healthy myometrium, and dotted with multiple spots in hyperintense T2 liquid signal (►).
The anterior displacement and the mass effect on the endometrium are clearly visible.

16-Adénomyose – Echo
Métrorragies post-ménopausiques.
L’échographie montre une plage centro-utérine hyperéchogène, mal délimitée ( ► ), évocatrice d’un endomètre très épaissi.
Devant la forte suspicion de cancer de l’endomètre, un curetage est réalisé, ramenant peu de matériel. En anatomo-pathologie, l’endomètre est atrophique.
Ce qui signifie que cette plage centro-utérine hyperéchogène ne correspond pas à de l’endomètre mais à du myomètre, infiltré par les glandes endométriales et l’hypertrophie musculaire, l’endomètre lui-même n’étant pas visible : adénomyose diffuse.
La présence de kystes ( ► ) au sein de cette plage est aussi en faveur de ce diagnostic.
16-Adenomyosis – Ultrasound
Postmenopausal metrorrhagia.
The ultrasound shows a central uterine area that is hyperechogenic and poorly defined (►), suggestive of a very thickened endometrium.
Given the strong suspicion of endometrial cancer, a curettage is performed, yielding little material. On histopathological examination, the endometrium is atrophic.
This means that this hyperechogenic central uterine area does not correspond to the endometrium but to the myometrium, infiltrated by endometrial glands and muscular hypertrophy. The endometrium itself is not visible : diffuse adenomyosis.
The presence of cysts (►) within this area also supports this diagnosis.
17 – Adénomyose diffuse – Echo endovaginale
Séquence vidéo : balayage de l’utérus en coupe sagittale.
Présence d’une plage hyperéchogène centro-utérine (►), mal délimitée, hétérogène. Elle pourrait correspondre à un endomètre très épaissi, particulièrement suspect.
L’autre hypothèse est qu’il s’agit de myomètre dont l’échogénicité a augmenté, d’où la non visibilité de l’endomètre par disparition du contraste. En sa faveur la présence de 2 petits kystes myométriaux dont l’un est repéré ( ► ).
Tableau d’adénomyose typique en échographie. Attention, en cas de métrorragie, il est impératif d’aller plus loin : curetage ou plus simplement IRM (voir n° 18 ).
17 – Diffuse Adenomyosis – Transvaginal US
Video sequence : Sagittal scan of the uterus.
Presence of a poorly defined, heterogeneous, centrally located hyperechogenic area in the uterus (►). This could correspond to a very thickened endometrium, which is particularly suspicious.
Another hypothesis is that it is myometrium whose echogenicity has increased, hence the non-visibility of the endometrium due to the loss of contrast. Supporting this is the presence of two small myometrial cysts, one of which is identified (►) : typical ultrasound appearance of adenomyosis.
Caution : In case of metrorrhagia, it is imperative to investigate further: curettage or more simply MRI (see no. 18).

18 – Adénomyose diffuse
Patiente a priori en péri-ménopause, adressée pour des métrorragies.
L’échographie montre une plage hyperéchogène centro-utérine (►), de contours irréguliers, qui pourrait correspondre à un endomètre très épaissi.
Mais le contraste avec la paroi utérine est faible, et il existe quelques petits kystes disséminés dans cette zone.
L’adénomyose apparaissant un diagnostic probable, on a réalisé une IRM dans un 1er temps et décidé de sursoir aux prélèvements endométriaux.
18 – Diffuse Adenomyosis
Patient presumably in perimenopause, referred for metrorrhagia.
Ultrasound shows a centrally located hyper-echogenic area in the uterus (►), with irregular contours, which could correspond to a very thickened endometrium.
However, the contrast with the uterine wall is low, and there are a few small cysts scattered in this area.
Given that adenomyosis appears to be a probable diagnosis, an MRI was performed initially, and it was decided to defer endometrial sampling.

19- Adénomyose diffuse – IRM (même patiente que 18)
L’IRM montre effectivement un endomètre fin (►) et une zone jonctionnelle épaissie. C’est elle qui est responsable de cet aspect échographique trompeur.
19 – Diffuse Adenomyosis – MRI
(same patient as 18)
The MRI indeed shows a thin endometrium (►) and a thickened junctional zone. This is what causes the misleading ultrasound appearance.

20- Adénomyose externe
Echographie endovaginale
Petite image sous-séreuse antérieure, hypoéchogène, avec piqueté hyperéchogène (entre les croix).
La paroi vésicale est respectée.
Vessie (★).
Endomètre (★).
20 – External Adenomyosis – Transvaginal Ultrasound
Small anterior subserosal image, hypo-echogenic, with hyper-echogenic speckling (between the crosses).
The bladder wall is intact.
Bladder (★).
Endometrium (★).

21- Adénomyose externe – IRM (même patiente que 20)
Coupe frontale : petite image sous-séreuse antérieure, hyposignal T2 (►) (Hypersignaux associés sur la séquence T1). La paroi vésicale était respectée.
Il existait par ailleurs une endométriose sévère avec kyste endométriosique droit (★) et volumineux nodule du torus (non visible ici).
21 – External Adenomyosis – MRI (same patient as 20)
Frontal section : Small anterior subserosal image, T2 hypointense (►) (associated hyperintensities on the T1 sequence). The bladder wall was intact.
Additionally, there was severe endometriosis with a right endometriotic cyst (★) and a large nodule of the torus (not visible here).

22-Adénomyose externe – Nodule du LUS Droit
Echographie coupe sagittale.
Endométriose profonde sur le torus et le LUS (ligament utéro-sacré droit ►), se prolongeant vers l’avant par une plage hypoéchogène intra utérine et myométriale (★) contenant des spots hyperéchogènes internes : adénomyose externe.
Contour utérin postérieur (►).
Sigmoïde fixé sur le nodule (★).
22-External Adenomyosis – Right USL Nodule
Sagittal ultrasound section.
Deep endometriosis on the torus and the right USL (uterosacral ligament ►), extending forward with a hypoechoic intrauterine and myometrial area (★) containing internal hyperechoic spots : external adenomyosis.
Posterior uterine contour (►).
Sigmoid fixed on the nodule (★)

23-Adénomyose externe – Nodule LUS Droit
(même patiente que 22)
IRM séquence T2 coupe sagittale.
Endométriose profonde sur le torus et le ligament utéro-sacré droit ( ► ), se prolongeant vers l’avant par une plage hyposignal intra utérine et myométriale ( ★ ) contenant des spots liquidiens internes : adénomyose externe.
Sigmoïde fixé sur le nodule ( ★ ).
Les différents éléments décrits en échographie sont retrouvés en IRM, mais de lecture plus facile.
23-External Adenomyosis – Right USL Nodule
(same patient as 22)
MRI T2 sequence sagittal section.
Deep endometriosis on the torus and the right uterosacral ligament (►), extending forward with a hypointense intrauterine and myometrial area (★) containing internal fluid spots : external adenomyosis.
Sigmoid fixed on the nodule (★).
The various elements described in the ultrasound are found in the MRI, but are easier to read.
© Dr Philippe BASSNAGEL – 2021