
1 – DIU Mirena
Echo sus-pubienne. Coupes sagittales chez la même patiente.
L’image gauche montre un utérus antéversé. Le stérilet est peu visible, avec seulement des échos à ses 2 extrémités (►).
L’image droite est obtenue en appuyant assez fortement sur la paroi abdominale de façon à horizontaliser l’utérus, qui devient alors perpendiculaire au faisceau d’ultrasons. Mirena devient alors évident. Nombreux artefacts de répétition (►) en rapport avec le plastique (polyéthylène) dont il est constitué.
Ve = vessie – Rachis L5
1 – Mirena IUD Transabdominal ultrasound. Sagittal views of the same patient.
The left image shows an anteverted uterus. The IUD is barely visible, with only echoes at its two ends (►).
The right image is obtained by pressing firmly on the abdominal wall to horizontalize the uterus, which then becomes perpendicular to the ultrasound beam. The Mirena IUD then becomes clearly visible. Numerous repetition artifacts (►) are related to the plastic (polyethylene) it is made of.
Bl = bladder – Spine L5

2 –DIU Mirena
Echo sus-pubienne.
Coupe frontale vessie vide sur un utérus antéversé.
Le faisceau d’ultrasons est perpendiculaire à la branche latérale gauche du stérilet (►) qui devient ainsi parfaitement repérable.
A l’inverse, cône d’ombre (►) en arrière de la tige verticale, dans l’axe du faisceau.
2 – Mirena IUD
Transabdominal ultrasound. Frontal view of an anteverted uterus, empty bladder .
The ultrasound beam is perpendicular to the left lateral arm of the IUD (►), making it perfectly identifiable. Conversely, there is an acoustic shadow (►) behind the vertical stem, aligned with the beam.

3 – DIU Mirena
Echo endo-vaginale.
L’hyperéchogénicité du Mirena et ses artefacts de répétition (►) sont le plus souvent facilement visualisés par voie vaginale par rapport à la voie abdominale. Les artefacts de répétition sont toujours suivis d’une ombre acoustique (★).
A noter ici la branche latérale droite enchâssée dans la portion proximale, interstitielle, de la trompe (►).
3 – Mirena IUD
Transvaginal ultrasound.
The hyper-echogenicity of the Mirena and its repetition artifacts (►) are most often easily visualized via the vaginal route compared to the abdominal route. Repetition artifacts are always followed by an acoustic shadow (★). Note here that the right lateral arm is embedded in the proximal, interstitial portion of the fallopian tube (►).

4 – Kyleena
ASP.
Kyleena fait partie de la même famille de stérilet que Mirena, avec une structure en polyéthylène.
Tous les stérilets sont radio-opaques, sans exception, et ils ont tous le même aspect à l’ASP, qu’ils soient au cuivre ou hormonaux.
Kyleena se démarque par la présence d’un anneau en argent situé à la partie supérieure de la tige verticale (►), bien visible sur une radio ce qui le rend parfaitement identifiable.
4 – Kyleena – Abdominal X-ray
Kyleena belongs to the same IUD family as Mirena, with a polyethylene structure. All IUDs are radiopaque without exception, and they all appear the same on an abdominal X-ray, whether they are copper or hormonal. Kyleena stands out due to the presence of a silver ring located at the top of the vertical stem (►), which is clearly visible on an X-ray, making it perfectly identifiable.

5 – Kyleena
Echo endo-vaginale.
Coupe transversale sur l’utérus et le stérilet au niveau de la tige verticale de polyéthylène (►) et plus haut de l’anneau d’argent (►).
L’anneau d’argent reste globalement hyperéchogène.
Cette caractéristique permet de le différencier des autres stérilets hormonaux (et cuivre bien sûr) aussi en échographie.
5 – Kyleena
Transvaginal ultrasound. Transverse view of the uterus and the IUD at the level of the vertical polyethylene stem (►) and, higher up, the silver ring (►). The silver ring remains globally hyperechoic. This feature allows it to be distinguished from other hormonal (and of course copper) IUDs on ultrasound as well.

6 – Kyleena
Echo endo-vaginale.
Acquisition volumique et reconstruction dans le plan frontal sur l’utérus et le stérilet.
La coupe passe en fait juste en arrière du stérilet, au niveau du cône d’ombre postérieur, d’où l’aspect très hypoéchogène de Kyleena.
Seul l’anneau d’argent (►) reste globalement hyperéchogène, comme en 2D.
6 – Kyleena – Transvaginal ultrasound.
Volumetric acquisition with reconstruction in the frontal plane of the uterus and IUD. The slice actually passes just behind the IUD, at the level of the posterior acoustic shadow, which explains the very hypoechoic appearance of Kyleena.
Only the silver ring (►) remains globally hyperechoic, as in 2D.

7 – DIU cuivre
Echographie sus-pubienne.
Au contraire des DIU hormonaux, les DIU au cuivre (►) sont toujours facilement visibles sur les échographies réalisées par voie abdominale, même si l’utérus est rétrofléchi comme c’est le cas ici.
Fond utérin (★)
Canal cervical (►)
Vessie (★).
7 – Copper IUD – Suprapubic ultrasound.
Unlike hormonal IUDs, copper IUDs (►) are always easily visible on abdominal ultrasounds, even if the uterus is retroflexed, as is the case here.
Uterine fundus (★)
Cervical canal (►)
Bladder (★)

8 – DIU cuivre
(même patiente que 7)
Echographie endo-vaginale.
Une autre différence avec les DIU hormonaux : les DIU au cuivre (►) génèrent un type différent d’artefact, facilement reconnaissable (►). Ces artefacts de réverbération surviennent même si le corps, comme pour Mirena et autres, est en polyéthylène.
Fond utérin (★).
8 – Copper IUD
(Same patient as 7)
Transvaginal ultrasound. Another difference from hormonal IUDs : copper IUDs (►) produce a distinct type of artifact that is easily recognizable (►). These reverberation artifacts occur even though the body, as with Mirena and others, is made of polyethylene.
Uterine fundus (★).

9 – DIU Ballerine
Il s’agit d’un DIU au cuivre. Quand il est déployé dans la cavité utérine, il a une forme de sphère (par opposition à la majorité des stérilets, en forme de « T »), que l’on repère bien en échographie.
En voici un exemple (►), en 2D et en 3D avec reconstruction frontale, localisé dans la corne utérine droite.
Cavité utérine (★).
9 – Ballerine IUD
This is a copper IUD. When deployed in the uterine cavity, it takes on a spherical shape (as opposed to most IUDs, which are « T »-shaped), making it easily identifiable on ultrasound. Here is an example (►), shown in 2D and 3D with frontal reconstruction, located in the right uterine horn.
Uterine cavity (★)

10 – Fils de DIU
Echographie endo-vaginale. Coupe sagittale.
Fils non vus à l’examen clinique.
Les fils du stérilet sont bien repérés en échographie chez cette patiente (ce n’est pas rare si le faisceau d’ultrasons est perpendiculaire à ceux-ci) sous la forme d’une image linéaire hyperéchogène dans le canal cervical (►).
L’extrémité inférieure des fils se situe en intra-cervical.
Orifice externe du col (►).
10 – IUD Strings
Transvaginal ultrasound. Sagittal view.
Strings not seen on clinical examination.
The IUD strings are clearly identified on ultrasound in this patient (which is not uncommon if the ultrasound beam is perpendicular to them) as a linear hyperechoic image within the cervical canal (►).
The lower end of the strings is also located there.
External cervical os (►).

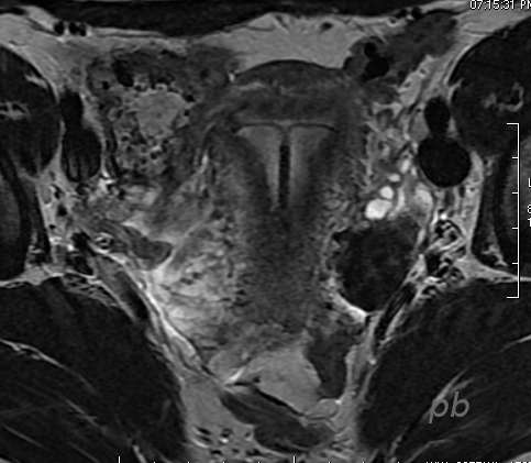
11 – DIU en IRM
Coupe axiale T2.
Les DIU (cuivre et hormonaux) en IRM apparaissent en hyposignal en T1 comme en T2.
11 – IUD on MRI
Axial T2-weighted image.
IUDs (both copper and hormonal) appear as hypointense (low signal) on both T1 and T2 MRI sequences.
© Dr Philippe BASSNAGEL – 2022