
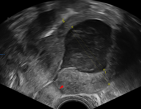
1 – Hématométrie
Rétention hématique après césarienne.
La cavité utérine (croix 1) est élargie et remplie de sang hypoéchogène.
Cicatrice de césarienne (►)
2 – Hématométrie – Ecoulement
Vidéo-Coupe sagittale échographique sur l’utérus.
Patiente en début de règles.
Ecoulement sanguin bien visible. Il s’effectue du fond utérin (à droite sur la vidéo) vers le col (à gauche).
Les contractions utérines sont également bien visibles au niveau du corps.
Cicatrice de césarienne (►). Remarquez la perte de substance, remplie par le sang.

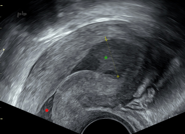
3 – Hématométrie – Sténose de l’orifice externe (OE)
Echographie endovaginale.
Rétention hématique.
La cavité utérine (croix 1) est élargie et remplie de sang hypoéchogène (★).
Il existe aussi une dilation du canal cervical (★) ou hématocolpos.

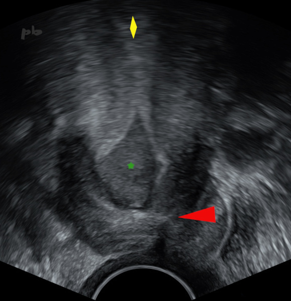
4 – Hématométrie – Sténose de l’orifice externe (OE)
(même patiente que 3)
Echographie endovaginale.
Rétention hématique. Hématocolpos avec un canal cervical très élargi (★) en lien avec une sténose de l’OE du col (►).Corps utérin (♦)
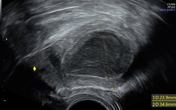
5 – Hématométrie et hématocolpos
Echographie endovaginale. Vidéo.
Présence de sang au niveau corporéal et cervical sur sténose de l’OE (orifice externe) du col.

6 – Diagnostic différentiel : pyométrie
Echographie endovaginale.
Métrorragies post-ménopausiques.
Dilatation de la cavité utérine (croix 1) par un liquide hypoéchogène hétérogène.
Le curetage révèlera qu’il s’agissait de pus.
Emdométrite à l’anapath.
Col utérin (♦)

7 – Polype endocervical
Echographie endovaginale – coupes sagittales centrées sur le col.
Visualisation d’une image allongée dans le canal cervical (►).
Le doppler couleur montre le pédicule vasculaire (►), se rattachant à la face postérieure de la région cervico-isthmique.
Ve = vessie

8 – Polype endocervical
Grossesse de 18SA.
Echographie par voie sus-pubienne – coupe sagittale centrée sur le col.
Visualisation d’une image de pédicule vasculaire en doppler couleur dans la lumière cervicale.

9 – Polype endocervical
(même patiente que 8)
Echographie endovaginale – coupes sagittales centrées sur le col.
- à gauche : polype (entre les croix) accouché par le col. Lèvre postérieure (►►) et face postérieure du canal cervical (►).
- à droite : polype (►) et pédicule (►) s’implantant en avant vers l’orifice interne du col.
Ve = vessie
LA = liquide amniotique
© Dr Philippe BASSNAGEL – 2026