
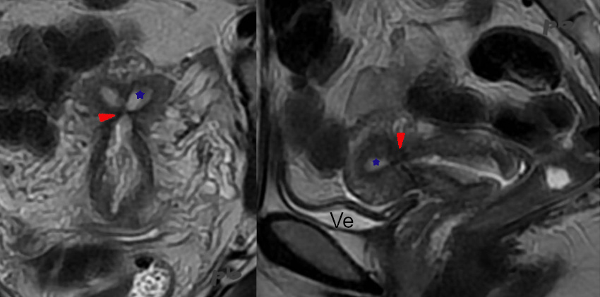
19 – Synéchies
(même patiente que 18)
IRM coupes frontale et sagittale T2 de l’utérus.
Contexte initial d’hémorragie du post-partum traitée par embolisation utérine.
Synéchie (►) en hyposignal T2, fermant la cavité.
Endomètre (★)
Ve = vessie

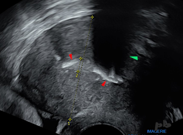
20 – Calcification et synéchie
(même patiente que 16)
Echographie réalisée 9 mois après l’HSG. Antécédent de curetage.
Apparition d’une volumineuse calcification (►) avec cône d’ombre (►).

21 – Calcifications
Révision utérine il y a 2 mois.
Echographie endovaginale.
Présence de calcifications (►) postérieures (le placenta était postérieur pendant la grossesse) : simples phénomènes cicatriciels en rapport avec le curetage, ou persistance de quelques résidus placentaires.

22 – Calcifications
(même patiente que 21)
Révision utérine il y a 4 mois.
Echographie endovaginale.
Progression des calcifications (►) par rapport à l’échographie précédente 2 mois plus tôt.
Cône d’ombre (►)

23 – Calcifications placentaires
Accouchement par voie basse il y a 2 mois et demi. Métrorragies.
Persistance d’un résidu placentaire (►) ponctué de petites calcifications.
Endomètre (★).

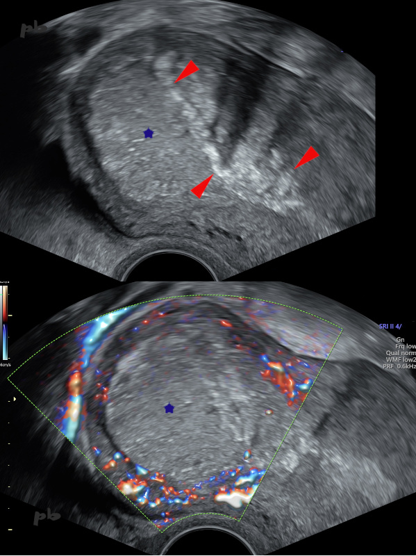
24 – Calcifications sur placenta acreta
Placenta acreta. Résidus placentaires laissés en place lors de l’accouchement (★).
Evolution attendue vers la régression, la dévascularisation (absence de flux en doppler couleur), et la calcification (►).
© Dr Philippe BASSNAGEL – 2026