
13 – Endométriose postérieure – Echographie
Coupe sagittale.
Nodule endométriosique spiculé hypoéchogène (entre les croix) localisé sur le torus et fixé sur un segment recto-sigmoïdien. La musculeuse (►), hypoéchogène, est effacée à ce niveau.
Utérus : col/isthme (★) et corps (★).

14 – Endométriose postérieure – IRM
(même patiente que 13)
Coupe sagittale T2.
Nodule endométriosique du torus en continuité avec la face antérieure épaissie du rectosigmoïde (★).
En T1 (non montré), il existe des spots en hypersignal.
Cicatrice d’hystérotomie (►).

15 – Endométriose postérieure – Echodoppler
Coupe sagittale montrant un nodule endométriosique hypoéchogène (►) fixé sur le torus (★) en avant et un segment recto-sigmoïdien en arrière. Infiltration de la paroi digestive.
La lumière digestive est bien visible (►), soulevée par un petit kyste (►) présentant une image de niveau liquidien, endométriosique.
Musculeuse indemne (★).

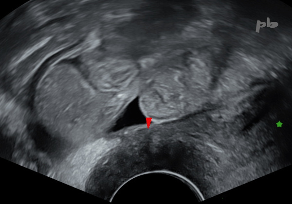
16 – Endométriose postérieure – Echographie
Nodule endométriosique hypoéchogène (croix).
Une portion de ce nodule (★) infiltre la paroi sigmoïdienne. La musculeuse est totalement effacée à ce niveau. Elle reste visible ailleurs (►).

17 – Endométriose postérieure – IRM
(même patiente que 16)
Coupe axiale T2.
Nodule endométriosique spiculé (►) venant du torus et du ligament utérosacré droit, infiltrant le rectosigmoïde épaissi (★).
L’importance de la pénétration digestive est plus difficile à évaluer par rapport à l’échographie vaginale.
Ovaires (►).
18 – Endométriose postérieure – Echographie
Séquence vidéo dans le plan sagittal.
Endométriose sévère.
Nodule endométriosique sur le torus, hypoéchogène (►), s’étendant en arrière vers le sigmoïde. La musculeuse (★) est infiltrée mais non dépassée. La lumière sigmoïdienne (►) est bien visible par moment, sous la forme d’une ligne hyperéchogène, intacte.
Le tissu endométriosique (►) rejoint l’ovaire droit qui est porteur d’un kyste hémorragique fonctionnel (★), ayant disparu sur une IRM réalisée 2 mois plus tard.

19 – Endométriose postérieure – Echographie
Patiente ne se plaignant pas de rectorragies, mais présentant des épisodes sub-occlusifs.
Nodule endométriosique hypoéchogène irrégulier marqué par les croix.
Il envahit la paroi sigmoïdienne. La musculeuse a complètement disparu (►) et le nodule proche, voire dans la lumière digestive.
Musculeuse normale (►).

19bis – Endométriose digestive
Echographie endovaginale coupe sagittale (à gauche) – IRM coupe sagittale T2 (à droite).
Volumineux nodule endométriosique situé sur le torus (►) et infiltrant en arrière la paroi antérieure du rectosigmoïde.
Cette envahissement (entre les croix – ★) apparait plutôt hypoéchogène et hyposignal. La lumière digestive est respectée en IRM. Interruption de la musculeuse (►) en regard du nodule en échographie.
Utérus (♦)
Cette endométriose profonde n’a été découverte qu’en cours de stimulation ovarienne, alors que les douleurs remontaient à plusieurs années en arrière : ce qui montre la difficulté du diagnostic, et probablement le développement des lésions sous stimulation.

20 – Endométriose postérieure – Echographie
Coupe sagittale.
Petites lésions endométriosiques vaginales à l’examen clinique.
La sonde endovaginale est positionnée dans le CDS postérieur.
On constate un net épaississement de la paroi vaginale, hypoéchogène (►).
Reproductibilité de la douleur.
Col utérin (★).

21 – Endométriose postérieure – IRM
(même patiente que 20)
Coupe axiale T1.
Même aspect d’épaississement de la paroi vaginale, parsemée de multiples images punctiformes en hyper T1 (►) en coupe transversale : atteinte vaginale endométriosique.
Col utérin (★).
© Dr Philippe BASSNAGEL – 2022