
10-GEU gauche associée à une grossesse intra-utérine.
Trompe droite controlatérale modérément épaissie.
Epanchement en périphérie.
10-Left Ectopic Pregnancy associated with an intrauterine pregnancy.
Moderately thickened contralateral right tube.
Peripheral effusion.

11-GEU gauche
Hématosalpinx. La trompe gauche peut être suivie sur plusieurs cm (►), modérément distendue.
Le sac gestationnel, liquidien (★) avec sa couronne hyperéchogène, est retrouvé au sein de la trompe gauche.
Pas d’épanchement significatif.
Sigmoïde visualisé à la partie supérieure de l’image.
11-Left Ectopic Pregnancy
Hematosalpinx. The left tube can be followed over several cm (►), moderately distended. The gestational sac (★) with its hyperechoic ring, is found within the left tube.
No significant effusion. Sigmoid visualized at the upper part of the image.

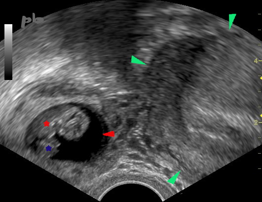
12-GEU gauche
(même patiente que 11)
Coupe transversale de la trompe gauche.
Paroi tubaire (►)
Sac gestationnel (►)
Ovaire gauche (★)
12-Left Ectopic Pregnancy
(same patient as 11)
Cross-section of the left tube.
Tubal wall (►)
Gestational sac (►)
Left ovary (★)

13-GEU gauche
- Voie sus-pubienne.
- Aspect d’image « en cible » à gauche de l’utérus (cœlome externe liquidien au milieu et trophoblaste hyperéchogène).
13-Left Ectopic Pregnancy
Abdominal ultrasound.
Appearance of a ‘target sign’ image to the left of the uterus (celomic cavity in the center and hyperechogenic trophoblast).

14-GEU droite intra-tubaire
- Le sac gestationnel est mesuré à 6,6 mm.
- La trompe droite est visualisée de part et d’autre (★).
- Pas d’épanchement.
14-Right intra-tubal ectopic pregnancy
The gestational sac measures 6.6 mm (between crosses).
The right tube is visualized on both sides (★).
No effusion.

15- GEU avec embryon vivant
-
Embryon de 26 mm de LCC (9,5 SA).
-
Pas de structure utérine en périphérie.
-
Pas d’épanchement.
15- Live embryo in ectopic pregnancy
Embryo measuring 26 mm in CRL (9.5 weeks of gestation).
No uterine structure in the periphery.
No effusion.

16- GEU avec embryon vivant
(même patiente que 15)
-
Embryon de 26 mm de LCC.
-
Flux doppler pulsatile (cœur et vaisseaux ombilicaux).
16-Ectopic pregnancy with a live embryo
(same patient as 15)
Embryo measuring 26 mm in CRL (Crown-Rump Length).
Pulsatile Doppler flow (heart and umbilical vessels).

17- GEU avec embryon vivant
-
Embryon (★), bien vu en-dehors de l’utérus (►).
-
A noter la membrane amniotique (►) et la hernie ombilicale (★) normale à ce stade.
17- Ectopic pregnancy with a live embryo
Embryo (★), clearly visible outside the uterus (►).
Note the amniotic membrane (►) and the normal umbilical hernia (★) at this stage.

18- GEU droite
-
Sac gestationnel (croix 2) vu dans la trompe droite.
-
Cette dernière, mesurée à 10,4 mm, est soulignée par un peu de liquide.
18- Right ectopic pregnancy
Gestational sac (cross 2) seen in the right tube.
The latter, measuring 10.4 mm, is outlined by a small amount of fluid.

19- GEU droite
-
Petit sac gestationnel de 9 mm (entre les croix) accolé à l’ovaire droit (►).
-
Corps jaune (►).
19- Right ectopic pregnancy
Small 9 mm gestational sac (between crosses) attached to the right ovary (►).
Corpus luteum (►).
© Dr Philippe BASSNAGEL – 2021