
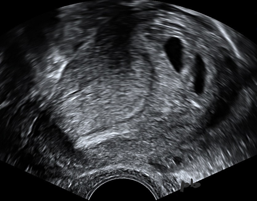
20-GEU
-
Sac gestationnel ( ►) et corps jaune ( ►) côte à côte.
-
L’aspect échographique est très semblable : image « en cible ». La mise en évidence de tissu ovarien en périphérie du corps jaune ( ★) permet le diagnostic différentiel. Voir aussi l’image 19.
20- Ectopic pregnancy
Gestational sac (►) and corpus luteum (►) side by side.
The ultrasound appearance is very similar : a ‘target’ image. The identification of ovarian tissue at the periphery of the corpus luteum (★) allows for differential diagnosis. See also image 19.

21-GEU
(même patiente que 20)
-
Sac gestationnel et corps jaune côte à côte.
-
Couronne vasculaire autour des 2 images. Le doppler ne permet pas le diagnostic différentiel.
21-Ectopic pregnancy (same patient as 20)
Gestational sac and corpus luteum side by side.
Vascular ring around both images. Doppler does not allow for differential diagnosis.

22- GEU + GIU
- Grossesse intra-utérine de 5,5 SA, associée à une GEU gauche.
- Il existait 2 corps jaunes. Corps jaune gauche (★), discrètement hypoéchogène au reste du tissu ovarien.
22- Ectopic Pregnancy + Intrauterine Pregnancy
5.5 week intrauterine pregnancy associated with a left ectopic pregnancy.
There were two corpus luteums. The left corpus luteum (★) is slightly hypoechoic compared to the rest of the ovarian tissue.

23-GEU + GIU
(même patiente que 22)
-
GEU mesurée à 11 mm, contre l’ovaire gauche (entre les croix). Image « en cible » à centre hyperéchogène. La couche externe correspond à la paroi tubaire.
23- Ectopic Pregnancy + Intrauterine Pregnancy (same patient as 22)
The ectopic pregnancy (between crosses) measures 11 mm, adjacent to the left ovary. ‘Target’ image with a hyperechoic center. The outer layer corresponds to the tubal wall.

24-GEU + GIU
(même patiente que 22)
-
2 jours plus tard, diminution de la taille de la GEU.
-
Elle aura disparu une semaine après sa découverte initiale, sans traitement.
24-EP + IUP (same patient as 22)
Two days later, the size of the ectopic pregnancy decreased.It will have disappeared one week after its initial discovery, without treatment.

25- GEU
-
Fausse couche il y a 15 jours. Métrorragies. Stagnation des β HCG à 250 UI.
-
Mise en évidence d’une petite GEU de 21 x 10 mm (coupe longitudinale).
25 – EP
Miscarriage 15 days ago. Metrorrhagia. Stagnation of β-HCG levels at 250 IU.
Evidence of a small ectopic pregnancy measuring 21 x 10 mm (longitudinal section) between crosses.
Digestive segment on the right in the image.

26- GEU
(même patiente que 25)
-
Mise en évidence d’une petite GEU ( ► ). Coupe transversale.
-
Faible vascularisation en périphérie.
-
Segment digestif à droite sur l’image.
26 – EP (same patient as 25)
Evidence of a small ectopic pregnancy (►). Transverse section.
Low vascularization at the periphery.
Digestive segment on the right in the image.

27- GEU + GIU bichoriale biamniotique
-
Grossesse triple, spontanée. Pas de stimulation ovarienne.
-
Présence de 2 sacs gestationnels intra-utérins.
27 – EP + Dichorionic diamniotic IUP
Spontaneous triplet pregnancy. No ovarian stimulation.
Presence of 2 intrauterine gestational sacs.

28- GEU + GIU bichoriale biamniotique
(même patiente que 27)
-
Hématosalpinx de 41 x 22 mm, d’échostructure très hétérogène.
-
Sac gestationnel de 12 mm en son sein (croix 1).
-
Pas d’épanchement.
28 – EP + Dichorionic diamniotic IUP (same patient as 27)
Hemosalpinx measuring 41 x 22 mm, with a very heterogeneous echostructure.
Gestational sac of 12 mm within it (cross1).
No effusion.

29- GEU + GIU bichoriale biamniotique
(même patiente que 27)
- Hématosalpinx (► ).
- Ovaire gauche visualisé à son contact (entre les croix).
29 – EP + Dichorionic diamniotic IUP (same patient as 27)
Hemosalpinx (►).
Left ovary visualized in contact with it (between crosses).
© Dr Philippe BASSNAGEL – 2021