
1 – Torsion – Echographie
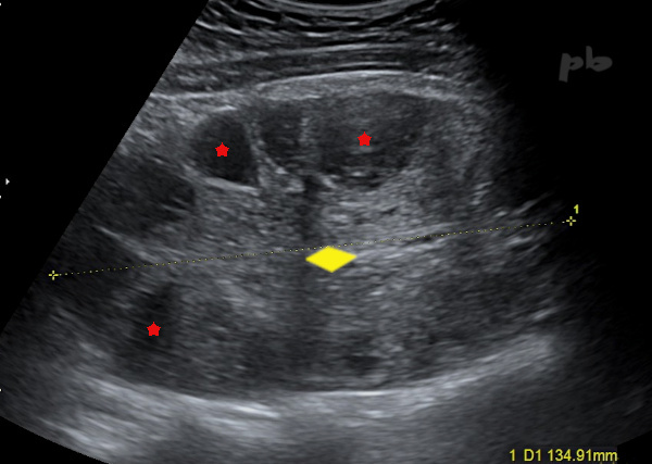
Echographie abdominale avec doppler.
Volumineuse masse (►) en arrière de l’utérus (►), porteuse d’un kyste (★) anéchogène.
Pas de signal en doppler couleur.
Ve = vessie.
1 – Torsion – Ultrasound
Abdominal ultrasound with Doppler.
Large mass (►) located posterior to the uterus (►), containing an anechoic cyst (★). No signal detected on color Doppler.
Ve = bladder.

2 – Torsion – Echographie
(Même patiente que 1)
Echographie endovaginale avec doppler.
Le kyste (★) contient en fait un liquide échogène.
La masse (entre les croix) est globalement hyperéchogène, discrètement hétérogène, ovalaire et de contours réguliers. Une petite image liquidienne d’allure folliculaire (►).
Cette masse correspond à un volumineux ovaire. Les follicules visibles étaient très peu nombreux.
On confirme l’absence de signal doppler, et donc l’absence de vascularisation décelable.Confirmation chirurgicale de la torsion annexielle, avec kyste hématique.
2 – Torsion – Ultrasound
(Same patient as 1)
Transvaginal ultrasound with Doppler.
The cyst (★) actually contains echogenic fluid. The mass (between the crosses) is overall hyperechoic, slightly heterogeneous, oval, and with regular contours. A small fluid image resembling a follicle (►). This mass corresponds to a large ovary. The visible follicles were very few in number. Absence of Doppler signal is confirmed, indicating no detectable vascularization. Surgical confirmation of adnexal torsion with a hemorrhagic cyst.

3 – Torsion – Echographie
A gauche, en échographie endovaginale, on retrouve un gros ovaire (►) hyperéchogène hétérogène, en rapport avec l’œdème. Aucun flux doppler décelable.
Il est centré par un kyste (★) dont la paroi est hyperéchogène, probablement plus ou moins infarcie.
A droite, vue coelioscopique de cet ovaire, bleuté.
3 – Torsion – Ultrasound
On the left, transvaginal ultrasound shows a large, heterogeneous, hyperechoic ovary (►), consistent with edema. No detectable Doppler flow. At its center, there is a cyst (★) with a hyperechoic wall, likely partially infarcted.
On the right, a laparoscopic view of this ovary, which appears bluish.

4 – Torsion – Echographie
(Même patiente que 3)
Echographie endovaginale avec doppler, réalisée le lendemain de l’intervention.
L’ovaire a déjà un peu diminué de taille et surtout a retrouvé une importante vascularisation en doppler.
4 – Torsion – Ultrasound
(Same patient as 3)
Transvaginal ultrasound with Doppler, performed the day after surgery. The ovary has already decreased slightly in size and, most importantly, has regained significant vascularization on Doppler.

5 – Torsion – Echographie abdominale
Douleurs survenant dans un contexte d’hyperstimulation.
Très gros ovaire (entre les croix : 135 mm) avec plusieurs follicules (★) à disposition périphérique. Le stroma ovarien (♦) est abondant, hyperéchogène. Il n’existait pas de flux vasculaire en doppler couleur.
Dans ce contexte d’hyperstimulation, un gros ovaire n’est pas une surprise, mais le stroma y est habituellement rare et la vascularisation intense : l’aspect ici est donc très en faveur du diagnostic de torsion.
La torsion annexielle est une complication classique de l’hyperstimulation.
5 – Torsion – Abdominal Ultrasound
Pain occurring in the context of ovarian hyperstimulation. Very large ovary (between the crosses: 135 mm) with multiple peripherally located follicles (★). The ovarian stroma (♦) is abundant and hyperechoic. No vascular flow was detected on color Doppler. In the context of hyperstimulation, a large ovary is not surprising, but the stroma is usually sparse and vascularization is intense: the appearance here is therefore highly suggestive of torsion. Adnexal torsion is a classic complication of ovarian hyperstimulation.

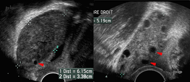
6 – Torsion – Echographie
Torsion annexielle droite sur kyste para-tubaire.
On retrouve les principaux signes échographiques (image gauche) :
* gros ovaire (entre les croix : 61 mm de grand axe)
* stroma ovarien abondant
* très rares follicules retrouvés en périphérie (►)
Après chirurgie et détorsion (image droite, réalisée à 12 heures post-opératoire), on voit réapparaitre des follicules et la taille de l’ovaire a déjà diminuée (52 mm) avec la régression de l’œdème.
6 – Torsion – Ultrasound
Right adnexal torsion due to a para-tubal cyst. The main ultrasound signs are visible (left image):
– Large ovary (between the crosses: 61 mm in longest diameter)
– Abundant ovarian stroma
– Very few follicles found at the periphery (►)
After surgery and detorsion (right image, taken 12 hours post surgery), follicles reappear, and the ovary size has already decreased (52 mm) with the resolution of edema.

7 – Torsion – Spire
Echographie endovaginale avec doppler couleur.
La spire est spécifique de la torsion. Elle est visualisée à côté de l’ovaire.
On voit ici l’enroulement des vaisseaux, certaines portions étant anéchogènes et d’autres contenant du signal doppler.
On retrouve souvent une tumeur à l’origine de la torsion. Cela peut être un kyste fonctionnel comme dans les 2 premiers cas présentés. Chez cette patiente il s’agissait d’un kyste dermoïde (non montré).
7 – Torsion – Twist (Whirlpool Sign)
Transvaginal ultrasound with color Doppler. The whirlpool sign is specific to torsion. It is visualized adjacent to the ovary. Here, the twisting of the vessels is visible, with some portions appearing anechoic and others containing Doppler signals. A mass is often found as the cause of torsion. This can be a functional cyst, as seen in the first two cases presented. In this patient, it was a dermoid cyst (not shown).

8 – Spire – Coelioscopie
La traduction macroscopique de la spire au cours d’une coelioscopie.
Il s’agissait d’une torsion serrée avec plusieurs tours de spire et un œdème important.
8 – Whirlpool Sign – Laparoscopy
The macroscopic visualization of the whirlpool sign during laparoscopy. This was a tight torsion with multiple twists and significant edema.
© Dr Philippe BASSNAGEL – 2022