
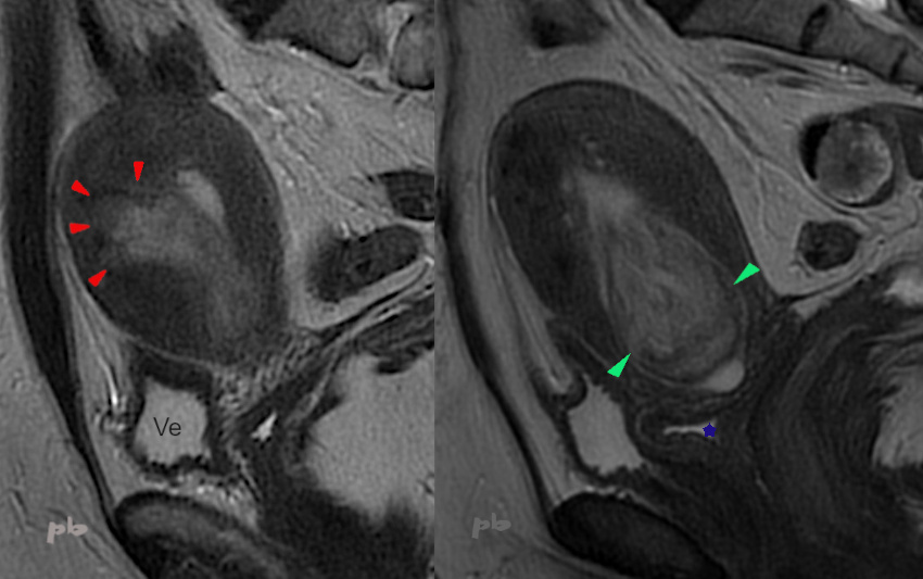
10 – Polype accouché par le col
IRM – Coupes sagittales T2.
On suit ce volumineux polype depuis sa base d’implantation (►) au niveau du fond utérin, jusqu’à sa tête en intra-cervical (►). Il présente un aspect plus hétérogène et une taille nettement plus importante que les cas précédents. Surtout l’interface floue au niveau de l’implantation pourrait être interprétée comme une infiltration de la paroi.
Ve = vessie
Cul de sac vaginal antérieur contenant un peu de liquide (★)

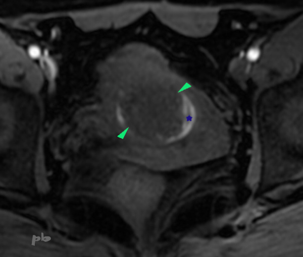
11 – Polype accouché par le col
(même patiente que 10)
IRM – Coupe axiale T1.
Hypersignal T1 arciforme (★) moulant le polype (►) : sang.
La chirurgie et l’anapath ont permis de confirmer l’absence de malignité (leiomyome).
Pour d’autres images de cette patiente, voir chapitre « Exploration d’un endomètre épais » images 14.

12 – Polypes multiples – Hystérosalpingographie (HSG)
Bilan réalisé dans le cadre d’une infertilité.
Multiples images lacunaires (►), de contours réguliers, moulées par le produit de contraste.

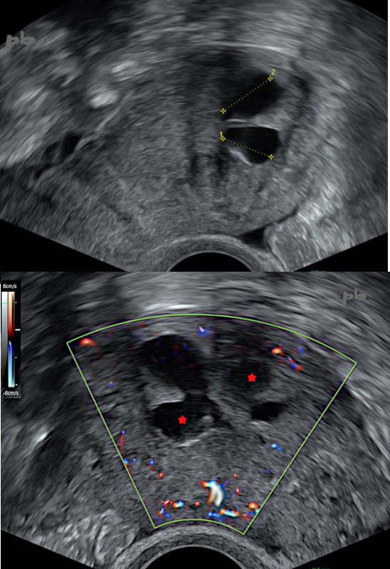
13 – Polypes multiples – Echographie vaginale
(même patiente que 12)
L’échographie complémentaire retrouve un endomètre hétérogène. Il existe un peu de liquide permettant de constater que l’endomètre est fin en réalité (►).
Ce liquide moule également une image hyperéchogène ovalaire (étoile blanche) : polype.
L’épaississement de la cavité est en rapport avec les nombreux polypes. Nombreux pédicules vasculaires en doppler.

14 – Synéchies – HSG
Antécédents de tuberculose utérine et de chirurgie.
Infertilité.
L’hystérographie montre une image lacunaire (★) persistante sur tous les clichés (un polype s’effacerait partiellement).
Myome calcifié (►)

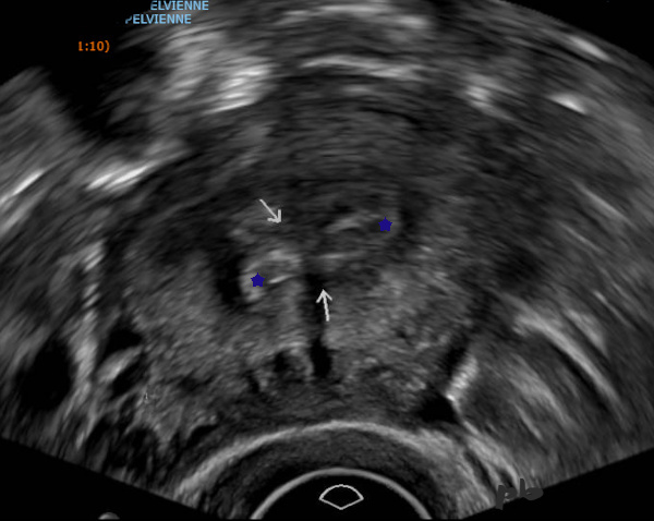
15 – Synéchies
(même patiente que 14)
Echographie endovaginale – Coupe transversale sur l’utérus.
Endomètre bien visualisé (★), avec une striction (flèches) au milieu par disparition du revêtement muqueux de la cavité.
Images en rapport avec les antécédents de tuberculose utérine et de chirurgie.

16- Synéchies
Hystérosalpingographie (HSG) pour bilan d’infertilité.
Antécédent de curetage.
Image non opacifiée, dite de soustraction (►), de contours anfractueux : synéchie.
A noter un passage du produit de contraste dans le réseau vasculaire myométrial, puis drainage par la veine ovarienne gauche (►).

17 – Synéchies
Examen réalisé quelques mois après thermocoagulation de l’endomètre
Echographie endovaginale – Coupes de l’utérus, sagittale en haut et transversale en bas.
Les synéchies sont responsables d’un cloisonnement de la cavité utérine, d’où la présence de plusieurs images liquidiennes rétentionnelles plus ou moins communicantes (croix et ★).
L’endomètre qui les borde est fin.

18 – Synéchies
Echographie endovaginale coupes sagittales. L’image droite est réalisée 2 ans après celle de gauche.
Contexte initial d’hémorragie du post-partum traitée par embolisation utérine.
A gauche, l’endomètre (★) et la cavité sont irréguliers et le myomètre hétérogène.
A droite, la cavité (★) devient plus difficile à analyser, déformée et partiellement masquée par des cônes d’ombre (fibrose ► s’accentuant avec le temps).
© Dr Philippe BASSNAGEL – 2026